根管治療は繊細な治療です
みなさんは、歯科医院を選ぶ際、どんなことを基準にしますか?
ひとつは誠実さだと思っています。
私は誠実さバロメーターになるのが根管治療だと思っていて、根管治療をどれだけ力をいれているかが見分けるときのひとつの指標だと思います。
というのも、根管治療は見えない部分で、どんなにしっかりやっても100%の成功を得るというものではなく、その状況でどれだけのベストを尽くせるかにかかってきて、それによってその歯の一生が左右されてきます。
根管治療にとって大事な道具のひとつにリーマーというものがありますが、これは根管をきれいにしたり形を整えたりします。見分けやすいように太さに応じて色分けされています。

(黄色の先端は刃がヨレヨレなのでもう使えません)
このリーマーはとても細いものなので、慎重に扱いますが扱いによっては折れてしまったりすることもあります。
リーマーが折れてしまうと取るのが大変で、そのままになってしまっている歯もあります。
リーマーは滅菌されているものなので、根管が汚染されていなければ問題ないのですが、折れたリーマーの先に病気があると大変です。
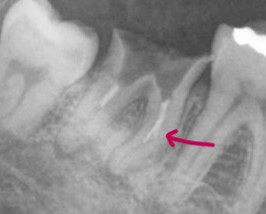
根の病気でいらした患者さんで、再治療の希望でしたが、不運なことに根管にリーマーが折れてその先の病巣への到達が困難になっています。ですが、抜歯を回避するために再根管治療で対応することになりました。

赤矢印の部分にねじねじした白いものが見えます
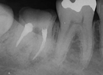
より細い器具を駆使して対応し、無事根の先の病巣までアプローチをすることができました。

奥のほうから汚染された組織が見つかり、可能な限り除去したので改善がみられることを期待してます。
術後は仮歯で様子見ながら本歯に置き換えていきます。
抜歯と言われた歯でも根管治療で改善する場合もありますので根管治療でお困りの際は是非ご相談ください。

