コンポジットレジン修復ってどんな治療?
コンポジットレジン修復って
どんな治療?
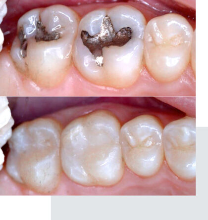
人形町の歯科のトワデンタルクリニック人形町です。皆さんは、歯医者さんで「コンポジットレジン」という言葉を聞いたことはありますか?虫歯治療や歯の欠けを修復する際に、よく用いられる白い詰め物のことです。この治療法は、見た目が自然な白い歯を取り戻せることから、素材の進歩とともに適応範囲を拡大しています。
MI(Minimal Intervention)治療との関係性
コンポジットレジン修復は、MI治療という考え方と深く結びついています。MI治療とは、歯をできるだけ削らずに、歯の寿命を長く保つことを目指す治療法です。従来の金属の詰め物と比べて、コンポジットレジンは歯を削る量が少なく、歯への負担も少ないのが特徴です。
ダイレクトボンディングで
美しい仕上がりへ
コンポジットレジン修復には、「ダイレクトボンディング」という治療法があります。これは、歯に直接レジンを盛り付けて形を整える方法で、その場で色調を調整できるため、より自然な仕上がりが期待できます。
コンポジットレジンの
成分と特徴
コンポジットレジンは、レジン(プラスチック)とフィラー(セラミックなどの細かい粒子)を混ぜ合わせた材料です。フィラーの量によって、強度や耐久性が変わってきます。
- レジン:粘着性が高く、歯に密着しやすい。
- フィラー:レジンに強度を与え、変色を防ぐ。
コンポジットレジン修復の
メリット
- 審美性が高い:自然な白い歯を取り戻せる。
- 歯を削る量が少ない:歯への負担が少ない。
- 短時間で治療できる:1回の治療で終わる場合が多い。
- 修復物の色調を調整できる:周りの歯との調和が取りやすい。
コンポジットレジン修復の
デメリット
- 耐久性が金属に比べてやや劣る
噛み合わせや食習慣によっては、摩耗したり、割れたりする可能性がある。 - 費用
保険適用外の治療となる場合がある
コンポジットレジン修復の予後
コンポジットレジンの予後は、患者さんの口腔内の状態、治療後のケア、歯科医師の技術などによって大きく左右されます。定期的な検診と適切なケアを行うことで、長く美しい状態を保つことができます。
まとめ
コンポジットレジン修復は、審美性が高く、歯をできるだけ削らない治療法として注目されています。ただし、すべてのケースに適しているわけではありません。治療を受ける前に、歯科医師にしっかりと相談し、メリットとデメリットを理解することが大切です。
【ポイント】
- コンポジットレジンは、MI治療に適した素材。
- ダイレクトボンディングで自然な仕上がりを実現。
- フィラーの量によって、強度が変わる。
- 定期的な検診とケアが大切。
【キーワード解説】
- MI:Minimal Interventionの略。最小限の侵襲治療。
- ダイレクトボンディング:歯に直接レジンを盛り付けて修復する方法。
- フィラー:レジンに混ぜる細かい粒子。強度や耐久性を向上させる。
- 予後:治療後の経過。
【その他】
-
コンポジットレジン修復は、虫歯治療だけでなく、歯の欠けや変色、隙間を埋めるなど、様々なケースに適用できます。
-
コンポジットレジンの種類は、歯科医院によって異なります。
-
コンポジットレジンは、光を当てて硬化するタイプが一般的です。
ご自身の歯のことで何か気になることがございましたら、お気軽にトワデンタルクリニック人形町へご相談ください。

