哺乳瓶う蝕ってなんですか?虫歯予防で乳幼児からできること
哺乳瓶う蝕(ほにゅうびんうしょく)、または「乳幼児齲蝕(にゅうようじうしょく)」は、赤ちゃんや小さな子どもの歯に発生するむし歯の一種です。特に、哺乳瓶で甘い飲み物(ミルクやジュースなど)を長時間飲むことが原因で発生しやすく、上顎前歯に多く見られます。今回は「哺乳瓶う蝕とは何か、いつごろから哺乳瓶をやめた方がいいのか」をテーマに、哺乳瓶の使用とむし歯リスクについて詳しく説明し、適切な時期に哺乳瓶を卒業する方法についてご紹介します。
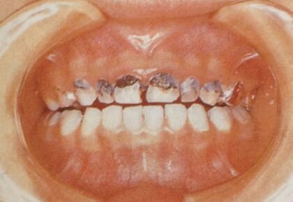
哺乳瓶う蝕とは?
哺乳瓶う蝕は、乳歯に発生するむし歯の一つで、特に哺乳瓶を長時間使用し、ミルクやジュースなど糖分を含んだ飲み物を頻繁に与えることが原因で起こります。むし歯は主に上顎の前歯に現れやすく、進行が早いため、重度のむし歯となり歯が欠けたり、黒く変色することがあります。
哺乳瓶う蝕が発生する主な原因は次の通りです。
- 糖分の摂取
乳幼児は哺乳瓶を使って甘い飲み物を摂取する機会が多く、特に寝る前にミルクやジュースを飲む習慣があると、口内に糖分が長時間滞留し、むし歯菌が繁殖しやすくなります。 - 唾液分泌の減少
哺乳瓶で長時間飲み物を飲むことにより、唾液の分泌が減少します。唾液には口内を浄化し、酸を中和する役割があるため、唾液の減少はむし歯リスクを高めます。 - 口腔ケアの不足
乳幼児期は歯磨きの習慣がまだ確立していないことが多く、親が口腔ケアを怠ると、食べかすや糖分が歯に残り、むし歯菌の温床となります。
哺乳瓶を使用し続けるリスク
哺乳瓶を長期間使用し続けると、哺乳瓶う蝕のリスクが高まるだけでなく、口腔の発達にも影響を与える可能性があります。
- かみ合わせの異常
長時間哺乳瓶を使用していると、舌や口の筋肉の使い方が変わり、かみ合わせが不正になることがあります。特に、寝る前や夜間の哺乳瓶の使用は、上下の前歯の正しい成長を妨げることがあります。 - 言語発達への影響
哺乳瓶を使い続けることで、口周りの筋肉が十分に発達しないため、言語発達が遅れることがあります。発音や口の動かし方に影響を及ぼし、将来的に言語障害のリスクが高まることがあります。
哺乳瓶をやめるタイミングは?
哺乳瓶を使用する期間は、個々の子どもによって異なりますが、一般的には1歳から1歳半を目安に、徐々に卒業することが推奨されています。乳歯が生え始める生後6か月頃から哺乳瓶の使用を考え直し、1歳を過ぎたらコップやストローで飲み物を飲む練習を始めると良いでしょう。
1.1歳までに卒業を目指す
WHO(世界保健機関)は、母乳育児を生後6か月まで推奨していますが、固形食の導入や歯の生え方に応じて、哺乳瓶からの卒業を目指すことが望ましいとされています。1歳を過ぎても哺乳瓶を使い続けると、哺乳瓶う蝕のリスクが高まるだけでなく、飲み物を甘くして飲ませる習慣がつき、食習慣の乱れにもつながる可能性があります。
2.寝る前の哺乳瓶を控える
寝る前に哺乳瓶でミルクやジュースを飲むことは、哺乳瓶う蝕の最大のリスク要因です。夜間は唾液の分泌が減少し、口内環境がむし歯菌にとって好都合な状態になります。したがって、夜間の哺乳瓶の使用を避けるか、少なくとも糖分の含まれない飲み物(例:水)に置き換えることが重要です。
3.コップやストローの練習
哺乳瓶からの卒業をスムーズに進めるためには、コップやストローを使って飲む練習を早めに始めることが大切です。生後6か月頃からコップに慣れさせることで、自然と哺乳瓶から離れることができるでしょう。また、ストローを使った飲み物の練習も、舌や口周りの筋肉を適切に使うことに役立ちます。
哺乳瓶卒業のための対策
哺乳瓶をやめることは、子どもにとっても親にとっても一つの大きなステップです。スムーズに哺乳瓶を卒業するための対策をいくつかご紹介します。
1.少しずつ回数を減らす
急に哺乳瓶をやめさせるのではなく、少しずつ飲む回数や量を減らしていくと、子どもも無理なく慣れていきます。例えば、日中の哺乳瓶の回数を減らし、最終的に夜間の哺乳瓶も徐々にやめていく方法が効果的です。
2.好きなコップを用意する
子どもが自分で選んだコップや、好きなキャラクターが描かれたものを使うと、コップで飲むことに対して興味を持ち、哺乳瓶に対する執着を減らすことができます。
3.褒めることで
モチベーションを高める
コップで飲むことができたときには、しっかりと褒めてあげましょう。褒められることで、子どもは自信を持ち、哺乳瓶から卒業する意欲が高まります。
哺乳瓶う蝕を防ぐための
口腔ケア
哺乳瓶う蝕を防ぐためには、早い段階から口腔ケアの習慣を身につけることが重要です。以下のポイントに注意して、子どもの歯を守りましょう。
- 歯が生え始めたら歯磨きを始める
最初の乳歯が生えたら、柔らかい歯ブラシで優しく歯を磨く習慣をつけましょう。特に夜寝る前の歯磨きは重要です。 - フッ素入りの歯磨き粉を使用する
フッ素は歯を強化し、むし歯予防に効果があります。乳幼児用の低濃度フッ素入り歯磨き粉を使い、適量で歯磨きを行うことが推奨されます。 - 定期的に歯科検診を受ける
むし歯ができる前に、定期的な歯科検診を受けることで、早期発見と予防が可能です。特に哺乳瓶を卒業する時期には、歯科医と相談し、適切なケアを心がけましょう。
まとめ
哺乳瓶う蝕は、乳幼児期のむし歯の一つで、哺乳瓶の長期使用が原因となる大きな要因です。特に甘い飲み物を含んだ哺乳瓶を長時間使うことで、乳歯がむし歯に侵されやすくなります。しかし、適切な時期に哺乳瓶を卒業し、正しい口腔ケアを行うことで、哺乳瓶う蝕を予防することができます。
人形町の歯科はトワデンタルクリニック人形町

